Custom Shade & Consulting

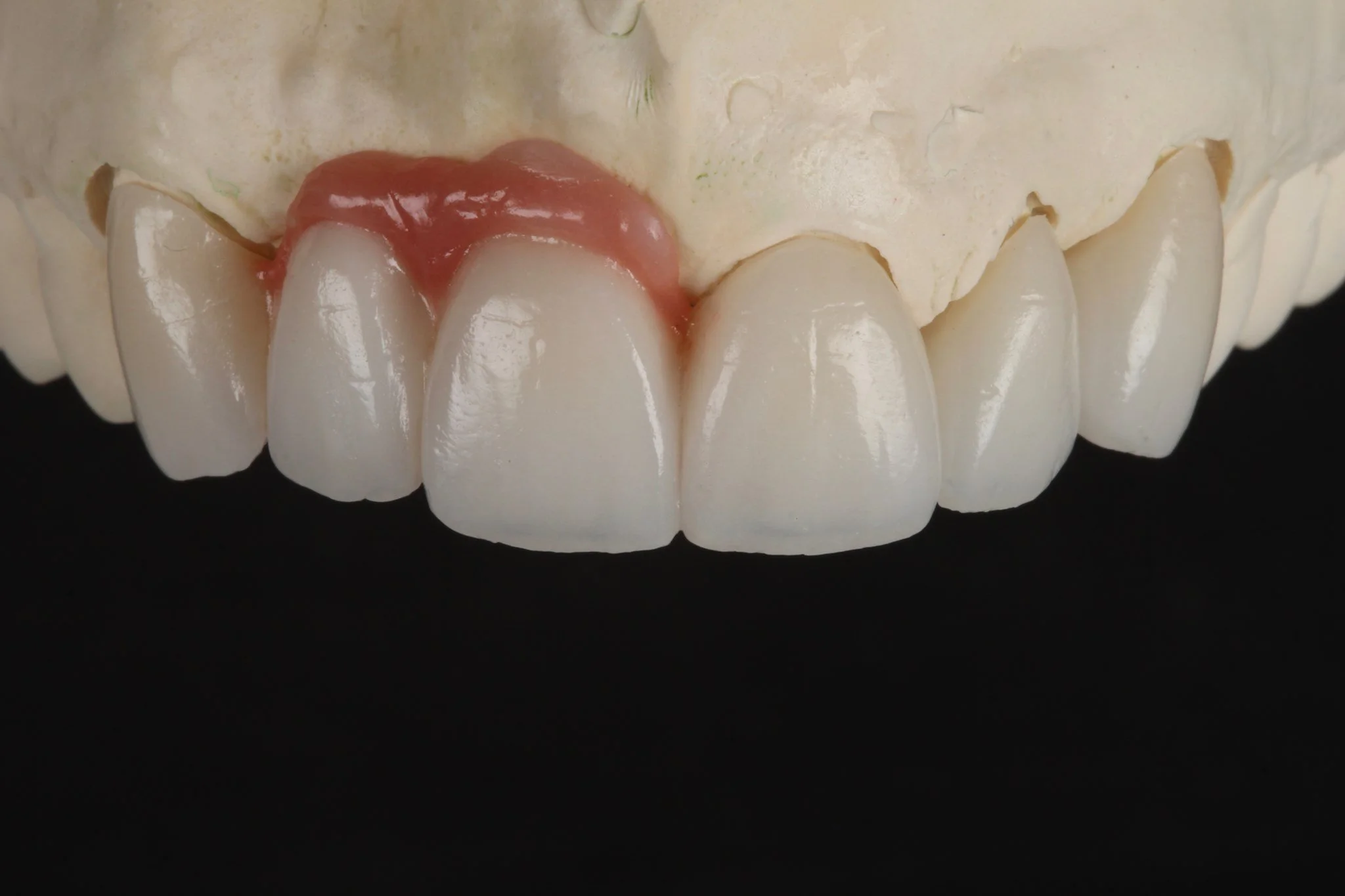
Patrick (Pat) Dippel is a Minnesota-based dental technician at Northstar Dental Studios with over 20 years of experience in dental ceramics, esthetic restorations, and advanced shade matching. He creates natural-looking, precision-crafted dental restorations that integrate seamlessly with each patient’s smile.

Patrick collaborates with dentists and their patients, consulting on restorative and esthetic cases using macro photography along with analog and digital diagnostics. By listening closely to each patient’s “dental story,” he delivers fully customized restorations that balance function, esthetics, and long-term results.

SCHEDULE A CONSULTATION WITH PATRICK

In lab or office consultations available by appointment Monday-Thursday.

Download this DSD PDF—we have 3D Smile Design dialed in.

  • "“Excellent experience. Patrick is very dedicated to creating the most perfect product (for me it was a crown). I would highly recommend this organization for any dental work you need.” "

    Cossette, patient

  • "“I would enthusiastically recommend Northstar Dental Studio and Patrick to anyone needing dental crowns, implants, etc. I needed both of my front teeth crowned and was really nervous about the process. It takes a lot to entrust someone with the task of restoring your smile and after meeting Patrick I was confident I had entrusted an expert…” "

    Lindsey Beumer, patient

  • "I would give 10 stars if I could! I had a front tooth implant done, which is terribly hard to get a good match. I've had (2) crowns previously over the past 12 or so years for this tooth and the last one failed which has led me to have to have an implant and my 3rd front tooth crown. I've been missing a front tooth for almost a year due to the process and healing as well as a previous lab NOT being able to get a front tooth crown even a close match to color or shape of my teeth. After months of the previous lab not getting it right and multiple appointments and time wasted my dentist decided to switch labs. My experience with Patrick @ Northstar was so different than the previous lab. He went through the process as well as listened to my concerns and what was important to ME. After a week he had me back at his office to see the shade and shape of the tooth and made some last minute tweaks. My appointment for placement was the following day and the tooth was there, ready and PERFECT, after ONE attempt. If you've ever had a single front tooth crown or replacement you probably know how hard it can be to get a tooth that looks natural. And to get it on the first try was something I hadn't experienced in the previous 3 crowns. A true tooth artisan! Thank you Patrick and Northstar Dental Studio!"

    Ashley, patient